ホワイトニング剤により歯の黄ばみ色素を分解し本来の歯の色よりも白く仕上げる方法です。ご自身の歯を削ることなく自然な白さを得られます。
歯のホワイトニング(審美歯科)とは

歯の黄ばみを分解して本来の歯よりも白く美しく

動画で見る:ホワイトニングでどこまで白くなる?
ホワイトニングをおすすめする理由

顔全体の印象が変わるから
最近では歯のホワイトニングは顔全体の印象が変わるという点から、オシャレな人を中心にトレンドになりつつあります。
街中でも綺麗な人を見ると白くてキレイな歯をしている人が多いように思います。白い歯は清潔な好印象を与え、何より笑顔に自信が持てます!

「歯のホワイトニングなんて芸能人だけが行うもの」というイメージを抱いている人もいると思いますが、今は手軽に歯科医院や自宅にてホワイトニングが行えますので、歯の黄ばみや汚れに悩んでいる人は、歯科医院に相談して、おすすめのホワイトニングを試してみてはいかがでしょうか。
ホワイトニングの値段

ホワイトニング1回約4,400円(税込)から
当院では複数ホワイトニングの施術方法をご用意しており、1回4,400円(税込)から施術を行っておりますが、人それぞれ歯の状態、施術方法による治療にかかる期間、また白くしたい本数や希望の白さなどが異なってきますので、値段も異なります。
当院では、まずは口腔内の状態を診察させていただき、個別におすすめのホワイトニングの施術方法のご提案、それぞれの特徴やメリットとデメリット、値段などのご説明をさせていただきますので、お気軽にご相談下さい。

ホワイトニングとその種類・特徴

※テーブルは左右スクロールできます。
| 最も効果が高い デュアルホワイトニング |
医院で簡単に オフィスホワイトニング |
自宅で好きな時に ホームホワイトニング |
|
|---|---|---|---|
| 来院回数 | 2回 | 1回 | 2回 |
| 仕上がり | ・色むらが少なく奥歯まで全ての 歯が白くできる ・最短で高い効果を得やすい |
・笑った時に見える前歯のみ白くできる ・回数は理想の白さに応じて変わる |
・奥歯まで全ての歯を白く することができる ・色むらの改善ができる |
| 金額 | 17,600円(税込) | 4,400円(税込) | 13,200(税込) |
| こんな方におすすめ | ・最短でできる限り白くしたい ・白い歯を維持し続けたい |
・自宅ではなく医院に通って行いたい ・その日にすぐ白さを手に入れたい |
・奥歯まで全ての歯を白くしたい ・医院に通う時間がない |
※2025年4月1日以降の価格となります。
オフィスホワイトニング
手軽に歯を白くしたい!忙しくホームケアが難しい方はプロにお任せ!医院にて歯科医師または歯科衛生士がホワイトニング剤と照射器を用いて行うホワイトニングです。

特徴
- 忙しい方におすすめ
- 1回から可能
- 来院したその日に白くできる
(色の後戻りが起こりやすい)
ホームホワイトニング
好きな時間にご自宅で手軽に!ぴったりフィットするあなた専用のマウスピースを作成しジェルを用い行います。

特徴
- 奥歯まで全ての歯を白くできる
- 色の後戻りが起こりづらい
- 色むらが改善できる
デュアルホワイトニング
オフィスとホームのいいとこ取り!2つのホワイトニングを掛け合わせ最短で白くし、白さを長持ちさせます。誰から見ても綺麗な仕上がりを目指したい方にオススメです。

特徴
- 理想の白さまで最短で近づける
- 色の後戻りが起こりづらい
- メンテナンスが楽になる
麻布十番の歯医者さん・矯正歯科のホワイトニングの特徴

低価格と丁寧なカウンセリング
自費診療のホワイトニングは医院により値段設定が様々ですが麻布十番の歯医者さん・矯正歯科では4,400円(税込)からスタートできます!低価格ですが効果が低いわけでははないのでご安心ください。
また、担当医師または衛生士が施術前に丁寧にヒアリングを行い、患者様のご希望に寄り添うご提案をさせて頂きます。(この日までに白くしたいなど期間がお決まりの方は遠慮せずおっしゃってください)

歯を白くする3つのメリット

- 好印象を与える
白く輝く歯は“清潔感”・“知性”を印象付け異性・同性問わず好印象を与えることができます。海外では白い歯も出世の条件となるほど白い歯は好感を与え信頼に繋がります。 - 若く見える
黄ばんだ歯は老けて見えてしまう要因となります。ある調査では歯が白いことにより平均で5歳若く見えるそうです。また白い歯は周囲の肌の透明感がまし綺麗に見えることに繋がります。 - 自信がつく
歯が白くなると自信を持って笑えるようになり笑顔が増えたという方が多数います。相手の目線が口元に行っても堂々としていられるため自信を持って会話ができたり、笑顔が増えることで周囲とのコミュニケーションが円滑になったという方も多いです。
ホワイトニングのデメリット

歯にしみたり、痛みが出る可能性
デメリットというのは、人それぞれの捉え方や感じ方次第ともいえますが、知覚過敏の傾向がある人は薬剤がしみたり、痛みが出たりすることがありますが、施術後24時間以内に落ち着くことがほとんどですので、自宅でケアを丁寧に行い刺激物や冷たい物の摂取を控えることをおすすめしています。
また歯は一度白くしても永久に白いままというわけではありません。
歯の黄ばみの原因は着色だけでなく、加齢により象牙質が透けてみえることなども原因と考えられているので、歯科医院にて定期的なクリーニングに加えて、再着色防止のためのホワイトニングをおすすめします。

誰でも歯が白くなる?

効果が実感できないケース
歯を白くするというホワイトニングですが、は個人差があります。以下の場合は、想像していたような白さを実感することが難しくなります。
■神経の無い歯は神経のある歯ほどには白くなりません。神経の無い歯に穴を開けて、そこにホワイトニング剤を流し込む方法がありますが、歯がもろくなるためおすすめしません。セラミックなど人口歯を入れることをおすすめしています。
■歯の治療に使ったつめ物や差し歯が時間を経ることで黄色く変色することがありますが、色を白く変えることは出来ません。

ホワイトニングの効果持続期間

短くても約6ヵ月前後
ホワイトニングの効果持続期間には、元々の歯の色調や状態にもより個人差があります。
オフィスホワイトニングは約6~12ヵ月、ホームホワイトニングは約9~15ヶ月効果が持続するといわれていますが、歯磨きの頻度や時間・施術後の自宅ケア方法・飲食の内容・喫煙の有無など、さまざまな要因で効果持続期間は前後します。
効果を持続させたい方は、歯の汚れや歯石などを取り除くことで、白い歯を維持しやすくなりますので定期的に健診やクリーニングの受診をおすすめします。
ホワイトニング効果を維持するには?
ホワイトニングは市販品にて自宅で行える?

思ったような効果が期待できない可能性も
ホワイトニングを市販されているホワイトニンググッズのみで、自宅で手軽に行って歯を白くしたいと思う人もいると思います。
結論から言うと日本で市販されているホワイトニンググッズは薬事法で規制されており、歯科医院で行うような効果は期待出来なかったり、研磨剤で知らず知らずのうちに歯や歯茎を傷つける恐れがあります。
歯の内部から・元々の歯の色以上に白くしたい方は、まずは歯科医院へのご相談をおすすめします。

ホワイトニングで後悔しないために

まずは歯科医院へのご相談から
最近ネット上では間違った使用方法や歯を傷つけてしまう商品などが、紹介されていることもあります。間違った情報を信じて使用してしまうと歯が白く綺麗になるどころか、逆に歯が傷ついてしまったり黄ばんでしまうこともあります。
また歯周病や歯石が多量に付着しているなど、ホワイトニングを行う前に解決しておいたほうが効果が出やすい場合もありますので、あとから後悔しない為にも、まずは歯科医院へのご相談をおすすめします。

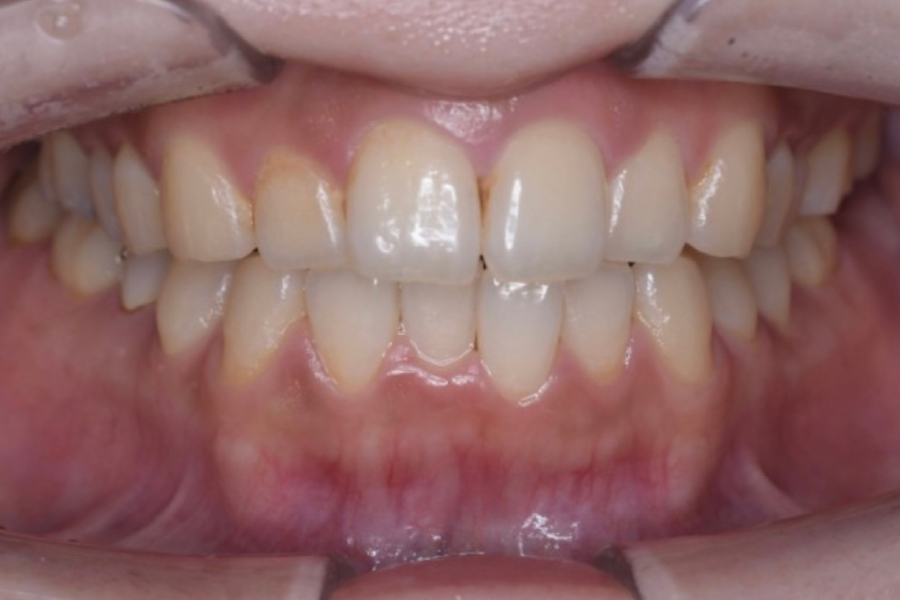
ホワイトニングの症例
現在の治療費と異なる場合がございます。最新の治療費は料金表をご確認ください。
症例1
治療前

治療後

| 年齢 | 30代女性 |
|---|---|
| 主訴 | 歯を白くしたい |
| 治療方針 | オフィスホワイトニング ホームホワイトニング |
| 治療期間 | 6ヶ月(患者様の都合でゆっくり治療しました) |
| リスク・副作用 | 知覚過敏 |
| 費用 | カウンセリング 0円 55,000円(税込) |
症例2
治療前

治療後

| 年齢 | 30代 |
|---|---|
| 主訴 | パッと見て清潔な歯の白さにしたい |
| 治療方針 | オフィスホワイトニング3回 ホームホワイトニング3ヶ月 ホームケアとしてスーパースマイル スーパースマイルアクセラレータ |
| 治療期間 | 2ヶ月半 |
| リスク・副作用 | 知覚過敏 |
| 費用 | カウンセリング 0円 82,500円(税込) |
症例3
治療前

治療後

| 主訴 | 歯を白くしたい |
|---|---|
| 治療方針 | オフィスホワイトニング3回 ホームホワイトニング |
| 治療期間 | 1ヶ月 |
| リスク・副作用 | 知覚過敏 |
| 費用 | カウンセリング 0円 20,900円(税込) |
症例4
治療前

治療後

| 主訴 | ホワイトニング |
|---|---|
| 治療方針 | 失活(歯の神経がない) 歯へのホームホワイトニングも成功した。 |
| 治療期間 | 2週間 |
| リスク・副作用 | 知覚過敏 |
| 費用 | オフィスホワイトニング2回 6,600円(税込) |
症例5
治療前

治療後

| 年齢 | 34歳男性 |
|---|---|
| 主訴 | ホワイトニング |
| 治療方針 | オフィスホワイトニングとホームホワイトニングの併用 |
| 治療期間 | 3ヶ月 |
| リスク・副作用 | 知覚過敏 |
| 費用 | カウンセリング 0円 36,300円(税込) |
症例6
治療前

治療後

| 主訴 | 歯を白くしたい |
|---|---|
| 年齢 | 30歳男性 |
| 治療方針 | 仕事が忙しく通院が難しいためホームホワイトニングのみ行う |
| 治療期間 | 1ヶ月 |
| リスク・副作用 | 知覚過敏 |
| 費用 | カウンセリング 0円 12,100円(税込) |
症例7
治療前

治療後

| 主訴 | クリーニング |
|---|---|
| 年齢・性別 | 24歳・女性 |
| 治療内容 | オフィスホワイトニング3照射 |
| 治療方針 | クリーニング後オフィスホワイトニングを行う |
| 治療期間 | 1週間 |
| 担当者所見 | オフィスホワイトニングのみで患者様の希望の白さになった |
| リスク・副作用 | 詰め物・被せ物は白くなりません 知覚過敏が起こることがあります ホワイトニングの効果は永久的ではなく徐々に色戻りします |
| 費用 | 9,900円(税込) |
症例8
治療前

治療後

| 主訴 | ホワイトニング |
|---|---|
| 年齢・性別 | 45歳・男性 |
| 治療内容 | デュアルホワイトニング (オフィスホワイトニング2回・ ホームホワイトニング) |
| 治療方針 | ホームホワイトニング3週間 オフィスホワイトニングを2回行った |
| 治療期間 | 1カ月 |
| 担当者所見 | ホームホワイトニング20%を3週間ほど行ったのちオフィスホワイトニングを2回行ったことにより最短で白さの効果がでて患者様も満足していらっしゃいました。 |
| リスク・副作用 | 詰め物・被せ物は白くなりません 知覚過敏が起こることがあります ホワイトニングの効果は永久的ではなく徐々に色戻りします |
| 費用 | 16,500円(税込) |
症例9
治療前

治療後

| 主訴 | 着色を取りたい・歯を白くしたい |
|---|---|
| 年齢・性別 | 46歳・男性 |
| 治療内容 | PMTC・オフィスホワイトニング |
| 治療期間 | 90分 |
| リスク・副作用 | 生活習慣(喫煙・コーヒーなど)により再度着色することがあります 詰め物や被せ物はホワイトニングでは白くなりません ホワイトニングの効果は永久的なものではなく徐々に色戻りが起こり ます ホワイトニング後は歯の表面の水分量が一時的に少なくなりしみることがあります 保険適用外の施術です |
| 費用 | PMTC 5,500円(税込) オフィスホワイトニング2回 6,600円(税込) (自費診療) |
症例10
治療前

治療後

| 主訴 | クリーニング・歯を白くしたい |
|---|---|
| 年齢・性別 | 30歳・女性 |
| 治療内容 | 歯石除去・オフィスホワイトニング |
| 治療期間 | 60分×2回 |
| リスク・副作用 | 歯茎の炎症が強いと歯石を取る際に出血することがあります 歯と歯の間に隙間ができるので、息が漏れ発音しにくいと感じることがあります 歯茎の炎症が軽減すると歯茎が引き締まり、歯が長く見えることがあります ホワイトニングの効果は永久的なものではなく徐々に色戻りが起こり ます ホワイトニング後は歯の表面の水分量が一時的に少なくなりしみることがあります ホワイトニングは自費診療の施術です |
| 費用 | 歯石除去 約2,000円 オフィスホワイトニング2回 6,600円(税込) (自費診療) |
症例11
治療前

治療後

| 主訴 | 歯を白くしたい |
|---|---|
| 年齢・性別 | 38歳・男性 |
| 治療内容 | オフィスホワイトニング1回 |
| 治療期間 | 30分 |
| リスク・副作用 | ホワイトニングにより知覚過敏が起こる可能性があります。 白くなる程度には個人差があります。 詰め物や被せ物は白くなりません。 年月の経過により徐々に色戻りが生じます。 |
| 費用 | オフィスホワイトニング1回 3,300円 |
症例12
治療前

治療後

| 主訴 | ホワイトニングがしたい |
|---|---|
| 年齢・性別 | 25歳・女性 |
| 治療内容 | オフィスホワイトニング(3回×3) ホームホワイトニング |
| 治療期間 | 約3ヶ月 |
| リスク・副作用 | 知覚過敏 |
| 費用 | 合計 19,250円 カウンセリング 0円 オフィスホワイトニング 3,300円×3=9,900円 ホームホワイトニング 11,000円 |
症例13
治療前

治療後

| 主訴 | 歯の黄ばみを抑えたい |
|---|---|
| 年齢・性別 | 28歳・女性 |
| 治療内容 | オフィスホワイトニング2回 |
| 治療期間 | 60分/回 |
| 担当者所見 | 横縞のようなムラがあり、ホワイトニングで一時的により浮き出やすくなることを心配していましたが2回連続で行うことで全体のトーンが上がりあまり気にならずに白くなりました。 今後もメンテナンスの中でお色に確認をし、維持していきます。 |
| リスク・副作用 | 知覚過敏・ホワイトスポットの出現 |
| 費用 | 3,300円×2回=6,600円 |
症例14
治療前

治療後

| 主訴 | オフィスホワイトニング希望 |
|---|---|
| 年齢・性別 | 31歳・女性 |
| 治療内容 | デュアルホワイトニング |
| 治療期間 | 20日間 |
| 担当者所見 | オフィスホワイトニングとホームホワイトニングを併用することで短期間で白さを得られたと患者様も満足されていました。 黄色みが減り、自然な白さになったと思います。 |
| 治療方針 | 初診時にオフィスホワイトニング2回とホームホワイトニング用のトレーの型どりをし、1週間後に再度オフィスホワイトニング3回とホームホワイトニングトレーをお渡ししました。 お家で2週間ホームホワイトニングを行ってもらい、2週間後にシェードの確認をしました。 |
| 特記事項 | ホームホワイトニング用のジェルは1番濃度の低い10%をお選びいただき、しみることなく無理なく行えたとのことです。 |
| リスク・副作用 | 詰め物・被せ物は白くなりません。 知覚過敏が起こることがあります。 ホワイトニングの効果は永久的ではなく徐々に色戻りします。 |
| 費用 | 合計27,500円 カウンセリング0円 オフィスホワイトニング3,300円×5回 ホームホワイトニング11,000円 |
症例15
治療前

治療後

| 主訴 | 上下前歯 |
|---|---|
| 年齢・性別 | 31歳・男性 |
| 治療内容 | オフィスホワイトニング |
| 治療期間 | 30分 |
| リスク・副作用 | 知覚過敏、ホワイトスポットの出現。 |
| 費用 | カウンセリング0円 オフィスホワイトニング3,300円×1回 合計3,300円 (2022年6月現在) |
症例15
治療前

治療後

| 主訴 | クリーニングとホワイトニング |
|---|---|
| 年齢・性別 | 40歳・男性 |
| 治療内容 | 歯石除去・PMTC・オフィスホワイトニングのトータルクリーニング |
| 治療期間 | 1ヶ月半 |
| リスク・副作用 | ・処置後に歯がしみることがあります ・歯肉の炎症がある場合は歯石除去中に出血を伴う可能性があります ・歯茎の炎症が軽減すると歯茎が引き締まり、歯が長く見えることがあります ・知覚過敏、ホワイトスポットの出現。 |
| 費用 | 合計23,700円 初診料3,000〜4,000円前後 歯石除去約1,000円 PMTC5,500円 オフィスホワイトニング1回3,300円×4回 (2022年7月現在) |
症例16
治療前

治療後

| 主訴 | 定期検診・ホワイトニング |
|---|---|
| 治療部位 | 全顎 |
| 年齢・性別 | 32歳・男性 |
| 治療内容 | 定期検診の検査・クリーニング オフィスホワイトニング2照射 |
| 治療方針 | 歯石、着色を除去後オフィスホワイトニングを行う。今後も検診の中でホワイトニングを行い白さを維持していく。 |
| 費用 | 合計11,220円 定期検診(保険診療)4,620円 オフィスホワイトニング6,600円 (2022年7月現在) |
| 治療期間 | 90分 |
| リスク・副作用 | ・生活習慣(喫煙・コーヒーなど)により再度着色することがあります ・詰め物や被せ物はホワイトニングでは白くなりません ・ホワイトニングの効果は永久的なものではなく徐々に色戻りが起こり ます ・ホワイトニング後は歯の表面の水分量が一時的に少なくなりしみることがあります |
| 担当者所見 | 治療後初めての定期検診で、PMTC後の変化に感動し、ホワイトニングも行うことになりました。オフィスホワイトニングを2照射行い色の変化に満足してくださいました。今後も色戻りを確認しながら検診時にホワイトニングを行い白さを維持していきます。 |
症例17
治療前

治療後

| 主訴 | 真っ白ではなく自然な白さに仕上げたい |
|---|---|
| 治療部位 | 上下4〜4 |
| 年齢・性別 | 26歳・女性 |
| 治療内容 | オフィスホワイトニング3照射 |
| 治療方針 | オフィスホワイトニングのみ行う。 |
| 費用 | 合計9,900円 (2022年7月現在) |
| 治療期間 | 60分 |
| リスク・副作用 | ・詰め物・被せ物は白くなりません。 ・ホワイトニング後は歯の水分量が低下することにより一時的に凍みやすくなります。日にちの経過とともに治ります。 ・ホワイトニングの効果には個人差があります。 ・ホワイトニングの効果は永久的ではなく徐々に色戻りします。 |
| 担当者所見 | 自然な白さに仕上げたいとのことでまず1照射を行い、色の上がり方を見て続けて2照射を行いました。 全体のトーンが均一的に上がり白さに満足してくださいました。後戻りの状況を見ながらタッチアップを行っていくことになりました。 |
症例18
治療前

治療後

| 主訴 | 歯石除去 |
|---|---|
| 治療部位 | 全顎 |
| 年齢・性別 | 25歳・男性 |
| 治療内容 | 定期検診(保険診療) オフィスホワイトニング2照射 |
| 治療方針 | お仕事が忙しく約半年ぶりのご来院でした。 基本的な各種検査、クリーニング(歯石除去・PMTC)を行いホワイトニング2照射も同日で行いました。 |
| 費用 | 合計11,220円(税込) (定期検診(保険診療)4,620円、オフィスホワイトニング3,300円×2) (2022年11月現在) |
| 治療期間 | 90分 |
| リスク・副作用 | ホワイトニングにより知覚過敏が起こる可能性があります。 白くなる程度には個人差があります。 詰め物や被せ物は白くなりません。 年月の経過により徐々に色戻りが生じます。 |
| 担当者所見 | 正面からでも確認できる下の前歯の歯石を患者様ご自身も気にしていらっしゃいました。歯石がたまり舌で触れた時にザラザラ引っかかっていたのがクリーニング後ツルツルになったと喜んでくださいました。 また同日でオフィスホワイトニングも2照射行いました。その場で効果を実感することができ、白さに満足してくださいました。白さを維持するためにも今後は3ヶ月に一度の定期検診を行なっていく予定です。 審美面での満足度が定期検診へのモチベーションに繋がり良かったです。 |
症例19
治療前

治療後

| 主訴 | ホワイトニング |
|---|---|
| 治療部位 | 上下顎5〜5 |
| 年齢・性別 | 26歳・男性 |
| 治療内容 | オフィスホワイトニング |
| 治療方針 | オフィスホワイトニングのみで1回の来院でできるところまで白くして欲しいとのご希望だったのでオフィスホワイトニングを1日最大の3回射行いました。 |
| 費用 | 合計9,900円 オフィスホワイトニング3,300円×3回 (2022年7月現在) |
| 治療期間 | 60分 |
| リスク・副作用 | ホワイトニングにより知覚過敏が起こる可能性があります。 白くなる程度には個人差があります。 ホワイトスポットが出現することがあります。 詰め物や被せ物は白くなりません。 年月の経過により徐々に色戻りが生じます。 |
| 担当者所見 | イベントのために急ぎ歯を白くされたいとのことで当日で3照射オフィスホワイトニングを行い、患者様も満足の仕上がりになりました。 先端のホワイトスポットについてはMIペースト(ミネラルを補給するためのカルシウムとリンを含むペースト)でをご自宅で塗布して頂きケアしていくことになりました。 |
症例20
治療前

治療後

| 主訴 | ホワイトニング |
|---|---|
| 年齢・性別 | 49歳・男性 |
| 治療内容 | PMTC オフィスホワイトニング2回照射 |
| 治療方針 | PMTCによる着色除去後ホワイトニングを2照射行いました。 |
| 費用 |
合計12,100円 PMTC 5,500円 オフィスホワイトニング 3,300円×2回 (2023年1月現在) |
| 治療期間 | 60分 |
| リスク・副作用 | ホワイトニングにより知覚過敏が起こる可能性があります。 白くなる程度には個人差があります。 詰め物や被せ物は白くなりません。 年月の経過により徐々に色戻りが生じます。 |
| 担当者所見 | 40代男性の方で清潔感が欲しいが男性がホワイトニングしましたと主張するような白さは恥ずかしい、自然に綺麗な仕上がりでというご希望でした。 PMTCにより本来の歯の明るさが取り戻せたのでその後オフィスホワイトニング2照射でお色の上がり方を確認しました。自然に2トーンほどアップした仕上がりに満足してくださいました。 歯が綺麗になったことにより定期検診への意欲も上がり検診時のタッチアップでキープしていくことになりました。 |
症例21
治療前

治療後

| 主訴と治療部位 | 主訴:ホワイトニング 治療部位:全顎 |
|---|---|
| 年齢・性別 | 28歳・男性 |
| 治療内容 | オフィスホワイトニング3照射 |
| 費用 |
合計9,900円(税込) オフィスホワイトニング 3,300円×3回 (2023年5月現在) |
| 治療期間 | 60分 |
| リスク・副作用 | ・生活習慣(喫煙・コーヒーなど)により再度着色することがあります ・詰め物や被せ物はホワイトニングでは白くなりません ・ホワイトニングの効果は永久的なものではなく徐々に色戻りが起こります ・ホワイトニング後は歯の表面の水分量が一時的に少なくなりしみることがあります ・保険適用外の施術です |
| 治療方針 | オフィスホワイトニングのみ希望だったので最大の3照射を行いました。 |
| 担当者所見 | 以前治療したプラスチックはホワイトニングでは白くならないことをご了承頂き施術を行いました。患者さまの希望の白さまで色のトーンが上がり喜んでくださいました。 |
症例22
治療前

治療後

| 主訴 | 2023年3月までに歯を白くしたい |
|---|---|
| 年齢・性別 | 22歳・女性 |
| 治療内容 | オフィスホワイトニング3回 ホームホワイトニング2ヶ月 |
| 費用 | 合計26,400円 ■内訳 オフィスホワイトニング:3,300円×3回 ホームホワイトニング:11,000円 ※追加のジェル5,500円×2本 ※価格は全て税込みです。 (2023年2月現在) |
| 治療期間 | 2ヶ月 |
| リスク・副作用 | 知覚過敏、ホワイトスポットの出現 |
| 治療方針 | オフィスホワイトニングとホームホワイトニングの併用 |
| 担当者所見 | オフィスホワイトニングとホームホワイトニングを併用することでご希望の3月までに自然な白さになりました。2ヶ月で4トーンアップしたので満足してくださいました。 |
症例23
治療前

治療後

| 主訴と治療部位 | 主訴:ホワイトニング 治療部位:全顎 |
|---|---|
| 年齢・性別 | 27歳・女性 |
| 治療内容 | オフィスホワイトニング×2回 |
| 費用 | 合計6,600円 ■内訳 オフィスホワイトニング:3,300円×2回 ※税込み価格 (2023年5月現在) |
| 治療期間 | 60分 |
| リスク・副作用 | ・詰め物や被せ物はホワイトニングでは白くなりません。 ・ホワイトニングの効果は永久的なものではなく徐々に色戻りが起こります。 ・ホワイトニング後は歯の表面の水分量が一時的に少なくなりしみることがあります。 ・保険適用外の施術です |
| 治療方針 | ホームホワイトニングは仕事が忙しく行えないとのことで即日で効果の出るオフィスホワイトニングを2回行いました。被せ物の方が天然歯よりも白く、できるかぎり被せ物の色味に近づけるよう色の上がり方を確認しながら回数を調整しました。 |
| 担当者所見 | 元々は入っている右上1番の被せ物に天然歯の色を近づけたいとホワイトニング希望でいらっしゃいました。被せ物と天然歯を全く同色にするのは透過性や色味などの問題で難しいことはご了承頂き行いましたが、色の変化に満足してくださいました。白さの維持のために定期的にホワイトニングを行う予定です。 |
症例24
治療前

治療後

| 主訴と治療部位 | 主訴:ホワイトニング 治療部位:全顎 |
|---|---|
| 年齢・性別 | 26歳・男性 |
| 治療内容 | オフィスホワイトニング3回照射 |
| 費用 | 合計9,900円 ■内訳 オフィスホワイトニング:3,300円×3回 ※税込価格 (2022年7月現在) |
| 治療期間 | 90分 |
| リスク・副作用 | ・ホワイトニング後、ホワイトスポットがより目立つ可能性があります。 ・プラスチックによる治療をした部位や、被せ物は白くなりません。 |
| 担当者所見 | 数日後のイベントのために本日行えるメニューをご希望でしたのでオフィスホワイトニングを最大の3照射行いました。事前に前歯部切端のホワイトスポットはより目立ちやすくなる可能性が高いことをご理解頂きホワイトニングを行いました。全体のトーンが明るくなったことによりホワイトスポットも気にならず白くなったと喜んでくださいました。 ※ホワイトスポットとは、歯の表面に見られる白い斑点を指します。 |
症例25
治療前

治療後

| 主訴と治療部位 | 主訴:ホワイトニング 治療部位:全顎 |
|---|---|
| 年齢・性別 | 36歳・男性 |
| 治療内容 | オフィスホワイトニング |
| 費用 | 合計6,600円 ■内訳 オフィスホワイトニング:3,300円×2回 ※税込価格 (2023年5月現在) |
| 治療期間 | 60分 |
| 治療方針 | オフィスホワイトニング2回照射 |
| 担当者所見 | 海外在住で一時的に日本に滞在中の方でしたので即日で効果の実感できるオフィスホワイトニングを行いました。 以前にホワイトニング経験がありタッチアップホワイトニング(追加漂白)でしたが毎日コーヒーや赤ワインなど着色しやすい食品を摂取し、1年以上の間隔が空いた為2回照射で行いました。 ホワイトニング後は以前の白さを取り戻せたと喜んでくださいました。 ※タッチアップホワイトニングとは:ホワイトニングの効果がなくなり始めたころに、再びホワイトニングを行うこと |
症例26
治療前

治療後

| 主訴と治療部位 | 主訴:歯を白くしたい |
|---|---|
| 年齢・性別 | 37歳・男性 |
| 治療内容 | オフィスホワイトニング10回 ホームホワイトニング8ヶ月 |
| 費用 | 合計47,850円 オフィスホワイトニング10回 33,000円 ホームホワイトニング11,000円+追加のジェル5本 13,750円 (2022年8月現在) |
| 治療期間 | 8ヶ月 |
| リスク・副作用 | ホワイトニングにより知覚過敏が起こる可能性があります 生活習慣(喫煙・コーヒーなど)により再度着色することがあります |
| 治療方針 | オフィスホワイトニングとホームホワイトニングの併用 |
| 担当者所見 | オフィスホワイトニングとホームホワイトニングを併用することで満足して頂ける白さになりました。白さ維持の為にこれからもデュアルホワイトニングを続けていく予定です。 |
症例27
治療前

治療後

| 主訴と治療部位 | ホワイトニング希望 |
|---|---|
| 年齢・性別 | 23歳・女性 |
| 治療内容 | ホームホワイトニング1ヶ月 |
| 費用 | ホームホワイトニング:11,000円 (2023年9月現在) |
| 治療期間 | 1ヶ月 |
| リスク・副作用 | 知覚過敏、ホワイトスポットの出現 |
| 治療方針 | ホームホワイトニング |
| 担当者所見 | 最近友人から歯が白くなったねと褒められてることが増えたそうで患者さまも満足されていました。 |
症例28
治療前

治療後

| 主訴と治療部位 | 歯の黄ばみが気になる |
|---|---|
| 年齢・性別 | 50歳・男性 |
| 治療内容 | オフィスホワイトニング×12回 |
| 費用 | 合計39,600円
オフィスホワイトニング:3,300円×12回 (2023年9月現在) |
| 治療期間 | 2ヶ月 |
| リスク・副作用 | 生活習慣(喫煙・コーヒーなど)により再度着色することがあります。 知覚過敏が起こることがあります。 詰め物・被せ物は白くなりません。 ホワイトニングの効果は永久的ではなく徐々に色戻りします。 |
| 治療方針 | オフィスホワイトニング |
| 担当者所見 | 清潔感のある歯の白さにしたいというご希望でした。 模様をホワイトニングで完全に白く明るくすることは難しいことをご了承頂きオフィスホワイトニングを行いました。 患者さまの希望の白さまで色のトーンが上がり喜んでくださいました。今後もメンテナンスの中で色を確認し、維持していきます。 |
症例29
治療前

治療後

| 主訴と治療部位 | 主訴:ホワイトニング 治療部位:全顎 |
|---|---|
| 年齢・性別 | 36歳・男性 |
| 治療内容 | オフィスホワイトニング×2回 |
| 費用 | 合計6,600円 オフィスホワイトニング:3,300円×2回 (2023年11月現在) |
| 治療期間 | 60分 |
| リスク・副作用 | ・ホワイトニングにより知覚過敏が起こる可能性があります。 ・白くなる程度には個人差があります。 ・ホワイトスポットが出現することがあります。 ・年月の経過により徐々に色戻りが生じます。 |
| 治療方針 | オフィスホワイトニング2照射後、色の上がり方を見て次回の期間・回数を検討 |
| 特記事項 | 仕事が忙しく帰宅後や朝は時間が取れないので、ホームホワイトニングは行わずオフィスホワイトニングのみとしました。 |
| 担当者所見 | 2照射で黄ばみが気にならなくなったと満足してくださいました。 この状態をキープしていく為に次回以降は3ヶ月おきの検診でホワイトニングを行なっていく予定です。1度の来院でこんなに変わるならもっと早く来ればよかったですと。 検診でキープしていきましょう。 |
症例30
治療前

途中経過

治療後

| 主訴と治療部位 | 主訴:ホワイトニングで歯を綺麗に見せたい 治療部位:全顎 |
|---|---|
| 年齢・性別 | 36歳・男性 |
| 治療内容 | オフィスホワイトニング2照射×3回 |
| 費用 | 合計19,800円(税込) オフィスホワイトニング:3,300円×6回 (2023年12月現在) |
| 治療期間 | 3週間 |
| リスク・副作用 | ホワイトニングにより知覚過敏が起こる可能性があります。 白くなる程度には個人差があります。 詰め物や被せ物は白くなりません。 年月の経過により徐々に色戻りが生じます。 |
| 治療方針 | オフィスホワイトニング2照射を3回行いました。 |
| 特記事項 | 患者さまの希望によりオフィスホワイトニングのみで行いました。 初回時に知覚過敏の症状が出た為、知覚過敏抑制剤の塗布を行いました。 |
| 担当者所見 | 2照射を3回繰り返し希望の白さになりました。 ホワイトニングを行うたびに白さを実感でき、来院が楽しみになりましたとおっしゃっていました。 |
症例31
治療前

治療後

| 主訴と治療部位 | 主訴:ホワイトニング 部位:全顎 |
|---|---|
| 年齢・性別 | 50歳・女性 |
| 治療内容 | オフィスホワイトニング2照射×3回 |
| 費用 | 合計6.600円 オフィスホワイトニング3,300円×2回 (2023年11月現在) |
| 治療期間 | 60分 |
| リスク・副作用 | ・詰め物・被せ物は白くなりません ・知覚過敏が起こることがあります ・ホワイトニングの効果は永久的ではなく徐々に色戻りします |
| 治療方針 | オフィスホワイトニングのみで行う。色のトーンの上がり方を見て回数を相談。 |
| 特記事項 | 右上1番と左上1番は被せ物です。前歯の被せ物がその他の歯より白い為、ホワイトニングで周りの歯を白くし全体の統一感を出したいとのことでした。家では行えないとのことでオフィスホワイトニングを当日に行いました。 |
| 担当者所見 | 2回照射し色身に満足して頂きました。今後は後戻りの状況を見て定期的に施術を行い、色味を維持していく予定です。 |
症例32
治療前

治療後

| 主訴と治療部位 | 主訴:ホワイトニング |
|---|---|
| 年齢・性別 | 39歳・女性 |
| 治療内容 | 歯を白くしたい |
| 費用 | 合計23,980円 ホームホワイトニング+オフィスホワイトニング2回:14,080円 オフィスホワイトニング3回:9,900円 (2023年6月現在) |
| 治療期間 | 2ヶ月 |
| リスク・副作用 | 知覚過敏、ホワイトスポットの出現が起こることがあります。 詰め物・被せ物は白くなりません。 ホワイトニングの効果は永久的ではなく徐々に色戻りします。 |
| 治療方針 | オフィスホワイトニングとホームホワイトニングの併用 |
| 担当者所見 | ホワイトニング希望で来院されました。ホワイトニングは初めてとの事で不安と仰っていました。ですが満足して頂ける白さになりました。白さ維持の為にこれからもデュアルホワイトニングを続けていく予定です。 |
症例33
治療前

治療後

| 主訴と治療部位 | 主訴:ホワイトニング |
|---|---|
| 年齢・性別 | 38歳・男性 |
| 治療内容 | オフィスホワイトニング2回照射 |
| 費用 | 合計6,600円 ■内訳 オフィスホワイトニング:3,300円×2回 ※税込み価格 (2024年1月現在) |
| 治療期間 | 60分 |
| リスク・副作用 | ・ホワイトニングにより知覚過敏が起こる可能性があります。 ・白くなる程度には個人差があります。 ・年月の経過により徐々に色戻りが生じます。 |
| 治療方針 | オフィスホワイトニングのみで行い、定期検診にてタッチアップホワイトニング |
| 特記事項 | ホワイトニング歯磨剤を使用中 |
| 担当者所見 | 変化は欲しいが自然な仕上がりでキープしやすい白さをご希望でしたので、オフィスホワイトニング2回照射を行いました。黄色味が抜けてトーンアップしたと仕上がりに満足してくださいました。 |
症例34
治療前

治療後

| 主訴と治療部位 | 主訴:ホワイトニング |
|---|---|
| 年齢・性別 | 25歳・男性 |
| 治療内容 | 歯を白くしたい |
| 費用 | 合計金額 17,600円 オフィスホワイトニング2回 6,600円 ホームホワイトニング 11,000円 (2024年2月現在) |
| 治療期間 | 1ヶ月 |
| リスク・副作用 | 知覚過敏の症状が強くなることがあります。 ホワイトスポットが目立つことがあります。 詰め物、被せ物は白くなりません。 ホワイトニング効果は永久的なものではなく後戻りします。 |
| 治療方針 | ホームホワイトニングとホームホワイトニングの併用 |
| 担当者所見 | ふと自分の歯を見て黄色いと思いホワイトニングを希望し来院されました。 1ヶ月で満足していただける白さになりました。 今後もさらに白くするためにデュアルホワイトニングを続けていく予定です。 |
症例35
治療前

治療後

| 主訴と治療部位 | 主訴:ホワイトニング 治療部位:全顎 |
|---|---|
| 年齢・性別 | 32歳・女性 |
| 治療内容 | オフィスホワイトニング |
| 費用 | 合計9,900円 オフィスホワイトニング3,300円×3回 (2024年3月現在) |
| 治療期間 | 60分 |
| リスク・副作用 | 詰め物・被せ物は白くなりません 知覚過敏が起こることがあります ホワイトニングの効果は永久的ではなく徐々に色戻りします |
| 治療方針 | オフィスホワイトニングのみ希望 |
| 特記事項 | ・初めてのホワイトニング ・コーヒーを毎日2杯飲む |
| 担当者所見 | 結婚式の直前にホワイトニング希望でご来院くださいました。 本日しか来院できないとのことでオフィスホワイトニングを3照射行いました。 (1日の最大照射回数は3回です) 現時点での白さを維持できるよう、結婚式までの数日はお色の濃い飲食物を避けていただくようお伝えしました。 1度の来院で白くなり嬉しい、式の準備が大変な中、即日で効果がでたので来院してよかったと喜んでくださいました。 |
症例36
治療前

治療後

| 主訴と治療部位 | ホワイトニング |
|---|---|
| 年齢・性別 | 23歳・女性 |
| 治療内容 | 歯を白くしたい |
| 費用 | 合計 11,000円 ホームホワイトニング (2024年2月現在) |
| 治療期間 | 1ヶ月 |
| リスク・副作用 | 知覚過敏の症状が強く出ることがあります。 ホワイトスポットが目立つことがあります。 詰め物、被せ物は白くなりません。 ホワイトニング効果は永久的なものではなく後戻りします。 |
| 治療方針 | ホームホワイトニングの継続 |
| 担当者所見 | もともとの歯の色も白く綺麗でした。 ホームホワイトニング7、8回の使用で満足していただける白さになりました。 今後もこの白さを維持していくためにホームホワイトニングは続けていく予定です。 |
症例37
治療前

治療後

| 主訴と治療部位 | ホワイトニング希望 |
|---|---|
| 年齢・性別 | 43歳・女性 |
| 治療内容 | デュアルホワイトニング(オフィスホワイトとホームホワイトニングの併用) |
| 費用 | 合計58,300円 オフィスホワイト6回 19,800円 ホームホワイトニング 11,000円+追加のジェル6本 27,500円 (2024年1月現在) |
| 治療期間 | 7ヶ月 |
| リスク・副作用 | ・ホワイトニングにより知覚過敏が起こる可能性があります。 生活習慣(喫煙・コーヒーなど)により再度着色することがあります。 ・詰め物被せ物は白くなりません。 ・ホワイトスポットが出現することがあります。 |
| 治療方針 | オフィスホワイトとホームホワイトニング |
| 担当者所見 | 自然な白さではなく人工物を入れたような真っ白な歯になりたいとのことで初診で来院されました。 目標の色を確認しホワイトニングの限界もお伝えしました。 まずはオフィスホワイトニングを試していきたいとの事でオフィスホワイトニングを行いました。 目に見えて白くなりましたが、これでも全然満足しないとのことでした。 効果をより実感して頂くために、再度デュアルホワイトニングをご提案し、オフィスホワイトニングとホームホワイトニングを併用して行っていくことになりました。 患者さまも真っ白になってきた!と大変喜ばれていました。 これからもデュアルホワイトニングで白さを向上させ、患者さまが目指す「真っ白」を追求していきます。 |
症例38
治療前

治療後

| 主訴と治療部位 | ホワイトニング希望 |
|---|---|
| 年齢・性別 | 22歳・女性 |
| 治療内容 | デュアルホワイトニング(オフィスホワイトとホームホワイトニングの併用) |
| 費用 | 合計33,550円 オフィスホワイトニング6回 19,800円 ホームホワイトニング 11,000+追加のジェル1本 13,750円 (2023年4月現在) |
| 治療期間 | 3ヶ月 |
| リスク・副作用 | ・ホワイトニングにより知覚過敏が起こる可能性があります。 生活習慣(喫煙・コーヒーなど)により再度着色することがあります。 ・詰め物被せ物は白くなりません。 ・ホワイトスポットが出現することがあります。 |
| 治療方針 | デュアルホワイトニング |
| 担当者所見 | 虫歯の治療が無事に終わり、最後のクリーニング時にホワイトニングに興味があるとのことだったので改めて来院して頂きました。 接客業のお仕事をしているため清潔感のある白さにしたいとの事でした。 デュアルホワイトニングを行い、満足頂ける白さになりました。 ガムピーリングも興味があるとの事で今後行っていく予定です。 白さを維持するためにも今後は3ヶ月に一度の定期検診を行なっていきます。 |
症例39
治療前

治療後

| 主訴と治療部位 | ホワイトニング希望 |
|---|---|
| 年齢・性別 | 51歳・女性 |
| 治療内容 | デュアルホワイトニング |
| 費用 | 合計25,850円 オフィスホワイトニング2回 6,600円 ホームホワイトニング 11,000円+ジェル3本 19,250円 (2024年4月現在) |
| 治療期間 | 1年 |
| リスク・副作用 | ・ホワイトニングにより知覚過敏が起こる可能性があります。 生活習慣(喫煙・コーヒーなど)により再度着色することがあります。 ・詰め物被せ物は白くなりません。 ・ホワイトスポットが出現することがあります。 |
| 治療方針 | デュアルホワイトニング |
| 担当者所見 | コロナウイルスが落ち着いてマスクを外す機会が多くなり歯の色が気になるようになったとの事でご来院頂きました。 虫歯の治療中はオフィスホワイトニングを行い、虫歯の治療が終わってからホームホワイトニングをメインに行いました。 白くなった!と満足して頂きました。コーヒーが大好きで毎日飲んでいたけどホワイトニングを始めるようになったから意識が上がり飲まなくなったとの事でした。 今後はお色味キープのために定期検診とホームホワイトニングを続けていきます。 |
症例40
治療前

治療後

| 主訴と治療部位 | 主訴:ホワイトニング 治療部位:全顎 |
|---|---|
| 年齢・性別 | 29歳・女性 |
| 治療内容 | キャンペーンホワイトニング 内容:オフィスホワイトニング2回とホームホワイトニング2週間分(上下マウスピースとホワイトニングジェル2本) |
| 費用 | 14,080円 (2024年2/1〜4/30までの限定特別価格です) (2024年4月現在) |
| 治療期間 | 2週間 |
| リスク・副作用 | ・ホワイトニングにより知覚過敏が起こる可能性があります。 ・白くなる程度には個人差があります。 ・詰め物や被せ物は白くなりません。 ・年月の経過により徐々に色戻りが生じます。 |
| 治療方針 | キャンペーンホワイトニング後は定期検診でタッチアップホワイトニングのタイミングを相談していく予定です。 |
| 特記事項 | ホワイトニング初回 |
| 担当者所見 | オフィスホワイトニングとホームホワイトニングをバランスよく行えたことにより、短期間で患者さまの希望の白さになりました。 心配していたホワイトニングによる知覚過敏等の症状もなく楽しんでできたとおっしゃっていました。 |
症例41
治療前

治療後

| 主訴と治療部位 | 主訴:ホワイトニング 治療部位:全顎 |
|---|---|
| 年齢・性別 | 25歳・男性 |
| 治療内容 | キャンペーンホワイトニング 内容:オフィスホワイトニング2照射とホームホワイトニング2週間分(上下マウスピースとホワイトニングジェル2本) |
| 費用 | 14,080円 (2024年2/1〜4/30まで限定の特別価格です。現在キャンペーンホワイトニングは行なっておりません) (2024年4月現在) |
| 治療期間 | 60分 |
| リスク・副作用 | ・詰め物や被せ物はホワイトニングでは白くなりません ・ホワイトニングの効果は永久的なものではなく徐々に色戻りが起こります ・ホワイトニング後は歯の表面の水分量が一時的に少なくなりしみることがあります ・保険適用外の施術です |
| 治療方針 | キャンペーンホワイトニング後定期検診でタッチアップ予定 |
| 特記事項 | 初回ホワイトニング |
| 担当者所見 | この春から社会人になったので、爽やかな印象を与えられるようホワイトニングを行いたいとご来院くださいました。 キャンペーンホワイトニングで短期間でトーンが上がり白くなったと効果に満足されていました。 |
症例42
治療前

治療後

| 主訴と治療部位 | SC |
|---|---|
| 年齢・性別 | 28歳・女性 |
| 治療内容 | 初診検査、SC、TBI |
| 費用 | 初診料3,000〜4,000円前後 +歯石除去約1,000円 (2023年7月現在) |
| 治療期間 | 4ヶ月 |
| リスク・副作用 | ・歯ぐきの炎症が強いと歯石を取る際に出血することがあります。 ・処置後に歯がしみることがあります。 ・歯と歯の間に隙間ができるので、息が漏れ発音しにくいと感じることがあります。 ・歯ぐきの炎症が軽減すると引き締まり、歯が長く見えることがあります。 |
| 治療方針 | 約4年ぶりの歯科医院で歯のクリーニングを行いたいと来院されました。 歯石除去と歯の表面に付着したプラークを取り除きました。 また、ご自身でしっかり歯磨きができるように、歯ブラシのレッスンも行いました。 歯ぐきの中の見えない部分にも歯石が多量に付着しているので今後は緑下歯石除去(SRP)を行なっていく予定です。 |
| 担当者所見 | 歯科治療に恐怖や心配がある患者さまでした。 まずは説明と歯ブラシ指導をメインで行いました。 コミュニケーションをとっていき恐怖心が和らぎ、説明も納得して頂いた上で治療を始めていきました。 普段歯ブラシは1分しか行っておらず歯磨きに対しての意識が低いとおっしゃっていました。 患者さまに合った歯ブラシを選択し、正しい歯ブラシの当て方を指導しました。 今日から歯磨きを頑張ろうと意気込んでいらっしゃいました。 今後は歯周状態の改善に努めていきます。 |
症例43
治療前

治療後

| 主訴と治療部位 | 主訴:ホワイトニング 治療部位:全顎 |
|---|---|
| 年齢・性別 | 43歳・女性 |
| 治療内容 | キャンペーンホワイトニング 内容:オフィスホワイトニング2照射とホームホワイトニング2週間分 (上下マウスピースとホワイトニングジェル2本) |
| 費用 | 14,080円 (2024年2/1~4/30まで限定の特別価格です。現在キャンペーンホワイトニングは行なっておりません) (2024年5月現在) |
| 治療期間 | 2週間 |
| リスク・副作用 | ・ホワイトニングにより知覚過敏が起こる可能性があります。 ・白くなる程度には個人差があります。 ・詰め物や被せ物は白くなりません。 ・年月の経過により徐々に色戻りが生じます。 |
| 治療方針 | キャンペーンホワイトニング |
| 特記事項 | 3年前まで毎朝もずく酢とクエン酸をのんでいた。 酸蝕症と診断され現在は控えている。 ※酸蝕症とは酸性の飲食物や胃液によって歯の表面のエナメル質が徐々に溶かされる疾患です。 |
| 担当者所見 | 軽度の酸蝕歯で他院でホワイトニングを断られた経験がありご相談に来院されました。 酸食症によりエナメル質が薄く、歯肉退縮もありしみやすい環境でしたがホームホワイトニングは必ず行いたいと患者さまからの強い希望もあり、予防法を提案し相談の上、キャンペーンホワイトニングを行うことになりました。 しみることへの予防としてホームホワイトニングはトレーに液溜まりをつくり、ホワイトニングジェルがしみやすい組織に付着しないよう考慮しました。また知覚過敏用歯磨剤の使用もお願いしました。 2週間ホームホワイトニングを行なったあと、オフィスホワイトニングを2照射行い希望の白さになりました。 白い歯への憧れとしみることへの怖さで葛藤していましたが、痛みを感じずにホワイトニンングができてよかったと喜んでくださいました。 |
症例44
治療前

治療後

| 主訴と治療部位 | ホワイトニング希望 |
|---|---|
| 年齢・性別 | 23歳・男性 |
| 治療内容 | デュアルホワイトニング |
| 費用 | 合計19,800円 オフィスホワイトニング1回 3,300円 ホームホワイトニング 11,000円+ジェル2本 16,500円 (2023年11月現在) |
| 治療期間 | 5ヶ月 |
| リスク・副作用 | ・ホワイトニングにより知覚過敏が起こる可能性があります。 ・生活習慣(喫煙・コーヒーなど)により再度着色することがあります。 ・詰め物、被せ物は白くなりません。 ・ホワイトスポットが出現することがあります。 |
| 治療方針 | デュアルホワイトニング |
| 担当者所見 | ずっとホワイトニングに興味があったとの事で来院されました。 初めてのホワイトニングで少し不安があるご様子でした。 お試しでやってみたいとのことだったので、オフィスホワイトニングを1回行いました。 オフィスホワイトニング1回でも白くなったと大変喜んでいました。 今後の白さの維持と更なるトーンアップのためにホームホワイトニングも行いました。 |
症例45
治療前

治療後

| 主訴と治療部位 | ホワイトニング |
|---|---|
| 年齢・性別 | 32歳・女性 |
| 治療内容 | 歯を白くしたい |
| 費用 | 合計 17,600円 ホームホワイトニング 11,000円 オフィスホワイトニング2回 6,600円 (2024年5月現在) |
| 治療期間 | 1ヶ月 |
| リスク・副作用 | 知覚過敏の症状が強く出る場合があります。 ホワイトスポットが目立つことがあります。 ご希望の白さになるまでは回数がかかることがあります。 詰め物、被せ物は白くなりません。 ホワイトニング効果は永久的なものではないため後戻りします。 |
| 治療方針 | ホームホワイトニングとオフィスホワイトニングの併用 |
| 担当者所見 | 4月から5月にかけての長期休みを利用し毎日ホームホワイトニングを行ってもらいました。 他の歯科医院ではホワイトニング効果が得にくいと言われ、諦めていましたが約1ヶ月で白くなりました。 今後もさらに白くするためにデュアルホワイトニングと定期的なクリーニングを行う予定です。 |
症例46
治療前

治療後

| 主訴と治療部位 | ホワイトニング |
|---|---|
| 年齢・性別 | 56歳・女性 |
| 治療内容 | 歯を白くしたい |
| 費用 | 合計11,000円 ホームホワイトニング 11,000円 (2024年7月現在) |
| 治療期間 | 1週間 |
| リスク・副作用 | 服薬による変色には十分な効果が期待できない場合があります。 被せ物、詰め物は白くはなりません。 知覚過敏症状が強く出る場合があります。 ホワイトニング効果は永久的なものではないため後戻りします。 |
| 治療方針 | ホームホワイトニングと定期的なクリーニングの併用 |
| 担当者所見 | 服薬による歯の変色がありました。通常よりも歯が白くなりにくい歯であることを説明した上で行いました。1週間のうち2時間半装着を5日間行っていただきました。 患者さま自身も効果を感じるほど白くなりました。 前歯の歯と歯の間のレジンによる着色は白くなった色に合わせてコンポジットレジンによる充填を行う予定です。 今後もさらに白くしていくためホームホワイトニングの継続と歯石除去やPMTCなどのクリーニングを行います。 |
症例47
治療前

治療後

| 主訴と治療部位 | 主訴:ホワイトニング 治療部位:全顎 |
|---|---|
| 年齢・性別 | 28歳・女性 |
| 治療内容 | オフィスホワイトニング3照射 ホームホワイトニング |
| 費用 | 合計20,900円 ■内訳 オフィスホワイトニング:3,300円×3回 ホームホワイトニング:11,000円 (2024年7月現在) |
| 治療期間 | 1ヶ月 |
| リスク・副作用 | ・詰め物や被せ物はホワイトニングでは白くなりません。 ・ホワイトニングの効果は永久的なものではなく徐々に色戻りが起こります。 ・ホワイトニング後は歯の表面の水分量が一時的に少なくなりしみることがあります。 ・保険適用外の施術です |
| 治療方針 | ホームホワイトニングを2週間行った後、さらにトーンアップさせる為オフィスホワイトニングを3照射行いました |
| 特記事項 | ジェルはアンジェラスホームの16%を使用しました。 |
| 担当者所見 | リスクとしてお伝えしていたホワイトスポットも全体の歯が白くなるにつれて気にならなくなりました。 ホームホワイトニングは日を追うごとに白さが実感でき楽しんで行うことができたとのことでした。 さらにオフィスホワイトニングを重ねたことでよりトーンアップした白さになったと満足してくださいました。 |
症例48
治療前

治療後

| 主訴と治療部位 | ホワイトニング |
|---|---|
| 年齢・性別 | 42歳・女性 |
| 治療内容 | 歯を白くしたい |
| 費用 | 合計 9,900 オフィスホワイトニング 3回照射 9,900円 (2024年7月現在) |
| 治療期間 | 1日 |
| リスク・副作用 | 知覚過敏の症状が強く出る場合があります。 希望の白さになるまでは回数がかかります。 詰め物、被せ物は白くなりません。 ホワイトニング効果は永久的なものではないため後戻りします。 |
| 治療方針 | オフィスホワイトニング |
| 担当者所見 | 1ヶ月後に結婚式を控えておりそれまでにできるだけ白くする事を希望していました。歯ぐきが下がっている所はしみるかもしれないと心配されていましたが今回のホワイトニングではしみる事なく行うことができました。 3回の照射で白くなったことをとても満足している様子でした。 まだ結婚式までもう少し時間があるので3回の照射を1、2回していく予定です。 |
症例49
治療前

治療後

| 主訴と治療部位 | ホワイトニング希望 |
|---|---|
| 年齢・性別 | 20歳・女性 |
| 治療内容 | デュアルホワイトニング |
| 費用 | 合計20,350円 オフィスホワイトニング2回 6,600円 ホームホワイトニング11,000円+ジェル1本 13,750円 (2024年4月現在) |
| 治療期間 | 7ヶ月 |
| リスク・副作用 | ・ホワイトニングにより知覚過敏が起こる可能性があります。 ・生活習慣(喫煙・コーヒーなど)により再度着色することがあります。 ・詰め物、被せ物は白くなりません。 ・ホワイトスポットが出現することがあります。 |
| 治療方針 | デュアルホワイトニング |
| 担当者所見 | 家族でホワイトニングに通ってくださっている患者さまのホワイトニングを行いました。 お母さまがホームホワイトニングを行っていて、白くなった歯を見て興味を持ったそうです。 以前からホワイトスポットが気になっていてるとおっしゃっていました。 軽度のホワイトニングスポットであれば、ホワイトニングによって目立ちにくくできる場合があります。 ホワイトスポットが大きい場合はホワイトニングの効果で周りが白くなる事で、ホワイトスポットが余計に目立ってしまう事があると説明しました。 デュアルホワイトニングを行ってホワイトスポットも目立たなくなり白くなったと喜んでいました。 |
症例50
治療前

治療後

| 主訴と治療部位 | 主訴:ホワイトニング 治療部位:全顎 |
|---|---|
| 年齢・性別 | 32歳・男性 |
| 治療内容 | オフィスホワイトニング |
| 費用 | 合計19,800円(税込) オフィスホワイトニング 3,300円×6回 (2024年7月現在) |
| 治療期間 | 1週間 |
| リスク・副作用 | ・ホワイトニングにより知覚過敏が起こる可能性があります。 ・白くなる程度には個人差があります。 ・詰め物や被せ物は白くなりません。 ・年月の経過により徐々に色戻りが生じます。 |
| 治療方針 | オフィスホワイトニング |
| 特記事項 | オフィスホワイトニング3照射を日にちを分けて2回行いました。, 初回時から7日後に2回目のホワイトニングを行い希望の白さになりました。 初回時の当日の夜に弱い知覚過敏症状が出た為、2回目の終了時は知覚過敏抑制剤の塗布を行い、知覚過敏効果のある歯磨剤の使用もお願いしました。 |
| 担当者所見 | 少ない来院で希望の白さになったと喜んでくださいました。 |
症例51
治療前

治療後

| 主訴と治療部位 | 歯を白くしたい。 |
|---|---|
| 年齢・性別 | 22歳・女性 |
| 治療内容 | オフィスホワイトニング |
| 費用 | 合計26,400円 オフィスホワイトニング8回 26,400円 (2024年7月現在) |
| 治療期間 | 3ヶ月 |
| リスク・副作用 | ・ホワイトニングにより知覚過敏が起こる可能性があります。 ・生活習慣(喫煙・コーヒーなど)により再度着色することがあります。 ・詰め物被せ物は白くなりません。 ・ホワイトスポットが出現することがあります。 |
| 治療方針 | オフィスホワイトニング |
| 担当者所見 | 歯を白くしたいとの事でご来院されました。 ホームホワイトニングご希望でしたが治療が必要な箇所があったので、虫歯の治療中はオフィスホワイトニングを行う事ととなりました。 虫歯の治療が終わってからホームホワイトニングを行う予定です。 またオープンバイトのため矯正を推奨しています。 舌が下顎前歯にくっついているためオープンバイトになったと考えられるので今後MFTも行っていく予定です。 |
症例52
治療前

治療後

| 主訴と治療部位 | 主訴:ホワイトニング 治療部位:全顎 |
|---|---|
| 年齢・性別 | 56歳・女性 |
| 治療内容 | ホームホワイトニング |
| 費用 | 11,000円 (2024年8月現在) |
| 治療期間 | 約2週間 |
| リスク・副作用 | ・ホワイトニングにより知覚過敏が起こる可能性があります。 ・白くなる程度には個人差があります。 ・詰め物や被せ物は白くなりません。 ・年月の経過により徐々に色戻りが生じます。 |
| 治療方針 | 臼歯は入れ歯を作製。左上1番は無髄歯なのでホワイトニング後に被せ物にする予定です。 患者さまのご希望でホワイトニングを優先して行いました。 |
| 特記事項 | 下顎臼歯の欠損期間が長く、上顎臼歯部が挺出し前歯部が傾斜している。 |
| 担当者所見 | 今後かみ合わせの回復など様々な治療が必要ですが、患者さまの前歯を白くしたいとの希望を優先しホワイトニングを行いました。 在宅時間が長いのでホームホワイトニングを選択しました。 希望の白さになり、これからの治療に意欲が出てきたとおっしゃってくださいました。 |
症例53
治療前

治療後

| 主訴と治療部位 | 主訴:歯を白くしたい 治療部位:全顎 |
|---|---|
| 年齢・性別 | 71歳・女性 |
| 治療内容 | オフィスホワイトニング |
| 費用 | 合計9,900円 オフィスホワイトニング1照射3,300円×3回 (2024年9月現在) |
| 治療期間 | 90分 |
| リスク・副作用 | ・詰め物・被せ物は白くなりません ・知覚過敏が起こることがあります ・ホワイトニングの効果は永久的ではなく徐々に色戻りします |
| 治療方針 | 患者さまのご希望でオフィスホワイトニングのみで行いました |
| 特記事項 | 上下顎前歯叢生 |
| 担当者所見 | 加齢に伴い歯の黄ばみが気になるとのことでとホワイトニングを行いました。 ホームホワイトニングは生活習慣上難しく、オフィスのみで行いましたが「歯が白くなり口元が若返った」と仕上がりに満足していただけました。 歯ブラシの届きづらい部位への磨き方の指導も行いました。 |
症例54
治療前

治療後

| 主訴と治療部位 | 主訴:歯を白くしたい 治療部位:全顎 |
|---|---|
| 年齢・性別 | 21歳・女性 |
| 治療内容 | オフィスホワイトニング |
| 費用 | 合計 19,800円 オフィスホワイトニング 1回照射 3,300円×6回 (2024年10月現在) |
| 治療期間 | 2週間 |
| リスク・副作用 | ・ホワイトニングにより知覚過敏が起こる可能性があります。 ・白くなる程度には個人差があります。 ・詰め物や被せ物は白くなりません。 ・年月の経過により徐々に色戻りが生じます。 |
| 治療方針 | オフィスホワイトニング6回照射を2日に分けて行いました。 ✳︎1日最大3回照射まで |
| 特記事項 | 初めてのホワイトニング |
| 担当者所見 | 周りのご友人の歯の白さに憧れ、ホワイトニング希望でご来院くださいました。 初日のホワイトニング後にはすぐに変化を実感され喜んでくださいました。 後戻りも考慮し1週間後に再度3回照射を行い、白さの定着とさらなるトーンアップが叶いました。 |
症例55
治療前

治療後

| 主訴と治療部位 | 主訴:歯を白くしたい 治療部位:全顎 |
|---|---|
| 年齢・性別 | 26歳・女性 |
| 治療内容 | オフィスホワイトニング2回照射 |
| 費用 | 合計6,600円 オフィスホワイトニング1照射3,300円×2回 (2024年10月現在) |
| 治療期間 | 60分 |
| リスク・副作用 | ・ホワイトニングにより知覚過敏が起こる可能性があります。 ・白くなる程度には個人差があります。 ・詰め物や被せ物は白くなりません。 ・年月の経過により徐々に色戻りが生じます。 |
| 治療方針 | オフィスホワイトニング2回照射 |
| 特記事項 | 初めてのホワイトニング |
| 担当者所見 | 真っ白ではなく、今よりも多少白くしたいとのことでオフィスホワイトニングを選択されました。 知覚過敏に関しても心配していらっしゃったので相談し2回照射で行いました。 黄ばみがなくなり白くトーンアップしたと仕上がりに満足してくださいました。 |
症例56
治療前

治療後

| 主訴と治療部位 | 主訴:ホームホワイトニングを行いたい 治療部位:全顎 |
|---|---|
| 年齢・性別 | 54歳・女性 |
| 治療内容 | 全顎 |
| 費用 | 11,000円 (2024年12月現在) |
| 治療期間 | 2週間 |
| リスク・副作用 | ・ホワイトニングにより知覚過敏が起こる可能性があります。 ・白くなる程度には個人差があります。 ・詰め物や被せ物は白くなりません。 ・年月の経過により徐々に色戻りが生じます。 |
| 治療方針 | ホームホワイトニングを2週間行う |
| 特記事項 | 使用ジェル:16%2本 シェード:C4→C2 (9段階)トーンアップ |
| 担当者所見 | 長年の歯ぎしり食いしばりの影響で、歯ぐきに近い部分の歯が削れていたり、歯ぐきが下がり下の組織が露出している部位がありました。 その為ホワイトニング薬剤による知覚過敏を心配していましたが、幸い凍みる症状もなく2週間最後まで行えました。 白くトーンアップした歯を見て、口元から顔全体の印象も明るくなり嬉しいと喜んでくださいました。 |
症例57
治療前

治療後

| 主訴と治療部位 | 主訴:ホワイトニング 治療部位:全顎 |
|---|---|
| 年齢・性別 | 42歳・女性 |
| 治療内容 | デュアルホワイトニング(ホームホワイトニングとオフィスホワイトニングの併用) |
| 費用 | 合計27,950円 ホームホワイトニング11,000円+追加ジェル1本 3,750円 オフィスホワイトニング1照射3,300円×4回 (2025年1月現在) |
| 治療期間 | 1ヶ月 |
| リスク・副作用 | ・ホワイトニングにより知覚過敏が起こる可能性があります。 ・白くなる程度には個人差があります。 ・詰め物や被せ物は白くなりません。 ・年月の経過により徐々に色戻りが生じます。 |
| 治療方針 | ホームホワイトニング後にオフィスホワイトニングを行う |
| 特記事項 | 使用ジェル:16%2本・35%1本 シェード:A4→A1 (12段階)トーンアップ |
| 担当者所見 | 歯の黄色味が気になるということでデュアルホワイトニングを実施しました。 ホームホワイトニングで黄色味を抑え、さらにオフィスホワイトニングを重ねることで明るさもアップし笑顔の印象も変わりました。 「笑うとしっかり歯が見えるタイプだから白くなって嬉しい」と喜んでくださいました。 |
症例58
治療前

治療後

| 主訴と治療部位 | 主訴:ホワイトニング 治療部位:全顎 |
|---|---|
| 年齢・性別 | 39歳・女性 |
| 治療内容 | オフィスホワイトニング |
| 費用 | 合計26,400円 オフィスホワイトニング1照射3,300円×4回 (2025年1月現在) |
| 治療期間 | 2日間 |
| リスク・副作用 | ・ホワイトニングにより知覚過敏が起こる可能性があります。 ・白くなる程度には個人差があります。 ・詰め物や被せ物は白くなりません。 ・年月の経過により徐々に色戻りが生じます。 |
| 治療方針 | オフィスホワイトニング2照射を2回行う。 |
| 特記事項 | ホームホワイトニングの経験あり シェード:A2→B1 (4段階)トーンアップ |
| 担当者所見 |
何年か前にホームホワイトニングで白くしたが色戻りが気になるとのことで今回は即効性のあるオフィスホワイトニングを行いました。 まず初診時に2照射し、5日後にさらに2照射を行うことで効果に満足してくださいました。 元々の白さゆえに劇的な変化ではありませんでしたが、この白さを維持していきたいと喜んでくださいました。 今後は定期的にタッチアップを行なっていく予定です。 |
症例59
治療前

治療後

| 主訴と治療部位 | 主訴:歯を白くしたい |
|---|---|
| 年齢・性別 | 35歳・女性 |
| 治療内容 | デュアルホワイトニング |
| 費用 | 合計23,100円 ホームホワイトニング 13,200円 オフィスホワイトニング3回セット 9,900円 (2026年3月現在) |
| 治療期間 | 1ヶ月 |
| リスク・副作用 | ・ホワイトニングにより知覚過敏が起こる可能性があります。 ・白くなる程度には個人差があります。 ・詰め物や被せ物は白くなりません。 ・年月の経過により徐々に色戻りが生じます。 |
| 担当者所見 |
歯の黄ばみがきになるとのことでホワイトニング希望で来院されました。 まずは2週間のホームホワイトニングを実施し、歯の深部からの白さの基盤を構築。 その後、オフィスホワイトニングを併用することで、一気に明度を引き上げました。 段階を踏んだアプローチにより、患者様にも満足していただける理想的な白さを実現しました。今後は、白さを維持するためのタッチアップとして、定期的なホームホワイトニングの継続と、数ヶ月に1回のオフィスホワイトニングを計画しています。 |
症例60
治療前

治療後

| 主訴と治療部位 | 主訴:歯を白くしたい |
|---|---|
| 年齢・性別 | 32歳・女性 |
| 治療内容 | オフィスホワイトニング |
| 費用 | 合計29,700円 オフィスホワイトニング3回セット 9,900円×3 (2026年4月現在) |
| 治療期間 | 10日間 |
| リスク・副作用 | ・ホワイトニングにより知覚過敏が起こる可能性があります。 ・白くなる程度には個人差があります。 ・詰め物や被せ物は白くなりません。 ・年月の経過により徐々に色戻りが生じます。 |
| 担当者所見 | 期限が決まっていたため短期間での施術を希望していました。 患者様ご自身も満足できる白さになりました。 今後もオフィスホワイトニングは継続していく予定です。 |
症例61
治療前

治療後

| 主訴と治療部位 | 主訴:歯を白くしたい |
|---|---|
| 年齢・性別 | 40歳・女性 |
| 治療内容 | ホームホワイトニング |
| 費用 | 合計13,200円 |
| 治療期間 | 2週間 |
| リスク・副作用 | ・ホワイトニングにより知覚過敏が起こる可能性があります。 ・ホワイトスポット出現の可能性があります。 ・白くなる程度には個人差があります。 ・詰め物や被せ物は白くなりません。 ・年月の経過により徐々に色戻りが生じます。 |
| 担当者所見 | ホワイトニングへのモチベーションが高く、2週間毎日ホームホワイトニングを行ってもらいました。患者様ご自身で効果が実感できるほど白くなりました。 全顎的に白くなったことで右上2番の詰め物の色味が気になるようになり今後詰め物のやりかえをしていく予定です。 |